Ogles2 Screenshots

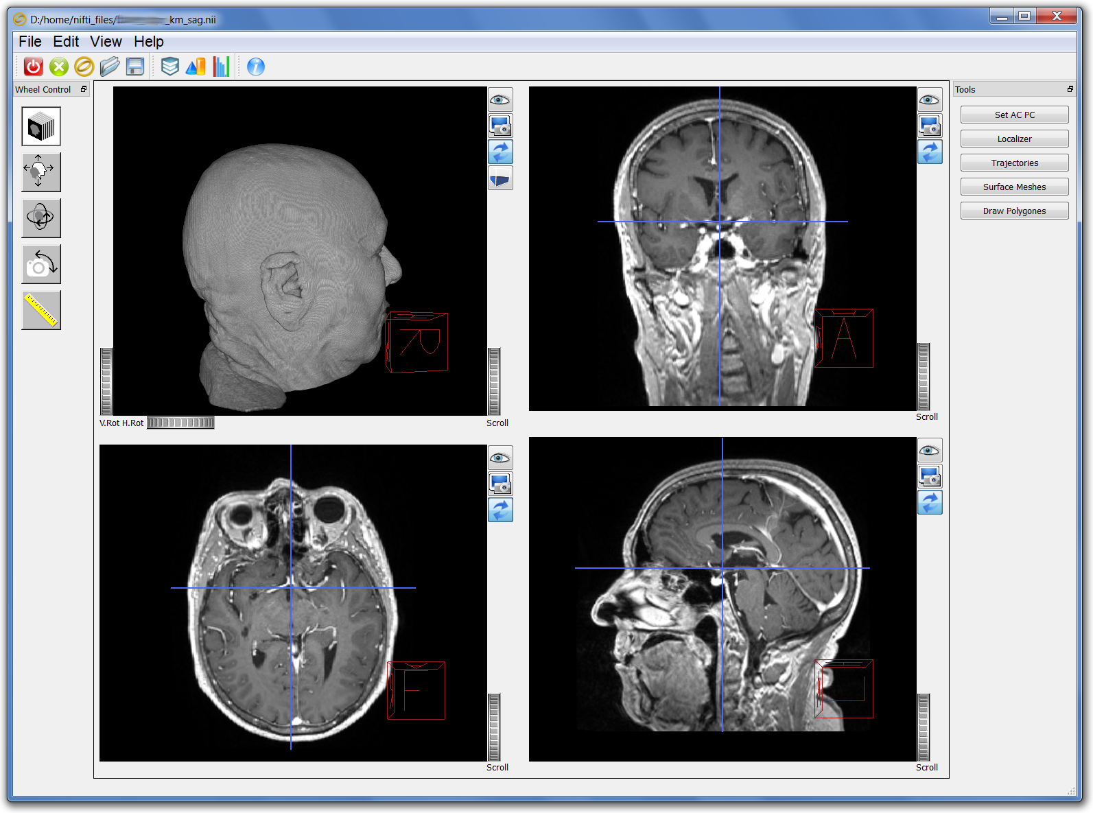
Ogles main GUI
Main GUI
Drawing
Drawing
Surface Mesh Construction
Surface Mesh Construction
AC-PC Aligned Surface Mesh
AC-PC Aligned Surface Mesh
Stereotactic Localization
Stereotactic Localization
AC-PC Coordinate System
AC-PC Coordinate System
Limited Coregistration Capability
Limited Coregistration Capability
Trajectory Planning (incl. Lead No. 3389)
Trajectory Planning (incl. Lead No. 3389)
Import of Anatomical Surface Models
Import of Anatomical Surface Models
Volumetry of Model / Electrical Field Intersections
Volumetry of Model / Electrical Field Intersections